Le 30 mars 2018 à 20:38:16 Tarkdo a écrit :
Le 30 mars 2018 à 20:17:12 Neoplasme a écrit :
![]()
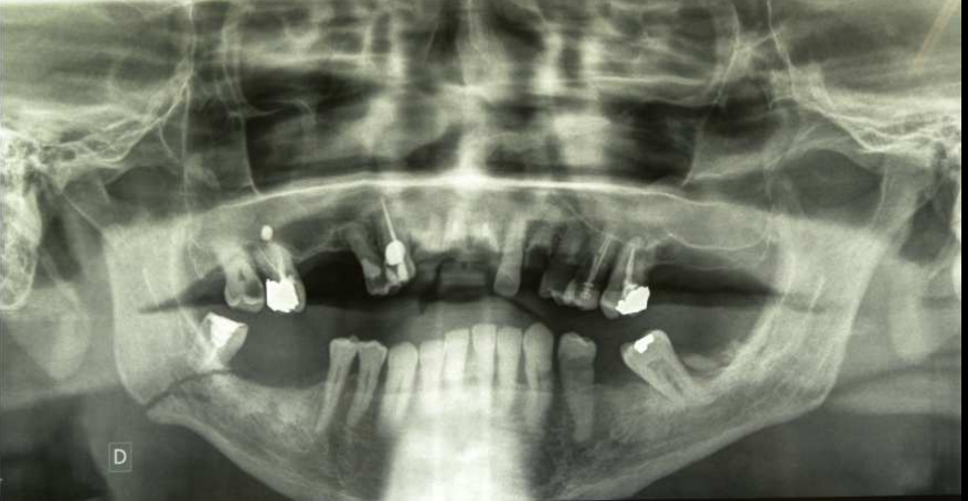
Comment vous définiriez la fracture au niveau de la dent ?
Fracture de la portion dentée mandibulaire?
Sur mon truc de conf Khalifa ils disent que c'est une fracture de l'angle, mais pour moi un fracture de l'angle c'est forcement après la portion dentée mais je suis loin d'être un expert en chirurgie ORL.
Le 30 mars 2018 à 20:38:45 AlisonHell a écrit :
Mais du coup qu'est-ce qui fait qu'à Paris les classements soient meilleurs ?C'est la qualité de l'enseignement ou le niveau des élèves qui change ?
J'étais en prépa avant et je peux te dire que les prépas parisiennes les cours sont bien plus durs et forment beaucoup mieux, donc ça me ferait chier de me taper 6 ans dans une fac de merde
C'est probablement multifactoriel: NC plus sélectif, fac plus exigeante aux examens, stage plus avantageux, enseignement plus tournée vers l'ECN...
Dans tous les cas TOUTES les facs placent des étudiants dans le top 100 donc aucune fatalité.
Les gens qui ont les capacités et qui veulent réussir réussiront.
Ah ouais les stages sont meilleurs sur Paris ?
Sinon oui je suis assez d'accord quand on veut on peut, j'ai vécu un peu le même délire en prépa pourtant la mienne était bonne mais rien à voir avec les prépas parisiennes.
Je prenais le programme des meilleurs prépas 
Ok merci.
Sinon vous allez faire le concours Hippocrate/Hermes ?
Le 30 mars 2018 à 20:48:14 DGV a écrit :
Le retour du bâton c'est que c'est bien plus dur d'avoir une spé prestigieuse à Paris qu'en province.
Ca dépend des villes de "provinces"
Regarde les rangs qu'il faut avoir pour avoir les spé sur bordeaux ...
D'ailleurs dans ma promo, 2 mecs classés 3x vont prendre cardio bordeaux, il risque de ne plus y avoir de place rapidement
Le 30 mars 2018 à 20:55:52 Shoot_forrest a écrit :
Le 30 mars 2018 à 20:48:14 DGV a écrit :
Le retour du bâton c'est que c'est bien plus dur d'avoir une spé prestigieuse à Paris qu'en province.Ca dépend des villes de "provinces"
Regarde les rangs qu'il faut avoir pour avoir les spé sur bordeaux ...
D'ailleurs dans ma promo, 2 mecs classés 3x vont prendre cardio bordeaux, il risque de ne plus y avoir de place rapidement
Les pauvres vont être derniers de promo 
D'ailleurs y a un truc que je comprendrai jamais.
Ceux qui rêvaient d'une spé et qui se sont ramassés au concours ça veut dire qu'ils ont fait 6 ans d'études pour au final devoir faire un truc qu'ils aiment pas pour le reste de leur vie ?
Histoire de voir si c'est si ingrat que ça ce concours.

Le 30 mars 2018 à 23:19:55 _Fleurs_Du_Mal_ a écrit :
Le 30 mars 2018 à 20:38:16 Tarkdo a écrit :
Le 30 mars 2018 à 20:17:12 Neoplasme a écrit :
![]()
Comment vous définiriez la fracture au niveau de la dent ?
Fracture de la portion dentée mandibulaire?
Fracture de l'angle mandibulaire non ?
J'aurais dit pareil mais j'ai tenté comme il l'a posté ici ça sentait la couille 
Afficher uniquement les messages de l'auteur du topic