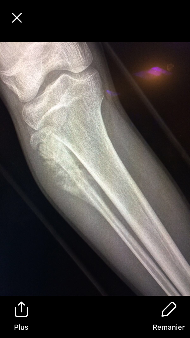
Adolescent présentant une boiterie d’esquive depuis 1 mois.
Chute au football avec réception sur le genou il y a 4 mois, sans complication.
Clinique : tuméfaction en regard de la zone pathologique, pas d’AEG.
Biologie : pas de syndrome inflammatoire.
1) description ?
2) hypothèses ?
3) prise en charge ?
Bonus : 