[16:49:07] <Sauce6>
![]()
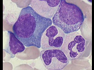
Si je me trompe pas ya un grand lymphocyte à gauche, un monocyte à droite et trois PNN en bas c'est juste?et merci pour la réponse les kheys
Je pourrai pas te dire si les 3 PN en bas sont neutrophile étant donné qu'on ne voit que 2 lobes pour 2 d'entre eux, ça peut être lié à l'incidence de coupe ou au fait que les neutrophile peuvent avoir des noyau bilobé 
Sinon dans quel compartiment a été pris la photo ? Ça aide beaucoup à différencié les cellules qui se ressemblent type monocyte/macrophages 
Et pour finir, j'ai pas l'impression que la cellule de gauche soit un lymphocyte étant donné que son rapport nucleo/cytoplasmique n'a pas l'air si élevé que ça (d'habitude il est proche des 90%), après c'est peut-être moi qui dit une connerie 
Le 14 décembre 2019 à 17:00:42 ElCaminoBBad a écrit :
[16:49:07] <Sauce6>
![]()
Si je me trompe pas ya un grand lymphocyte à gauche, un monocyte à droite et trois PNN en bas c'est juste?et merci pour la réponse les kheys
Je pourrai pas te dire si les 3 PN en bas sont neutrophile étant donné qu'on ne voit que 2 lobes pour 2 d'entre eux, ça peut être lié à l'incidence de coupe ou au fait que les neutrophile peuvent avoir des noyau bilobé
Sinon dans quel compartiment a été pris la photo ? Ça aide beaucoup à différencié les cellules qui se ressemblent type monocyte/macrophages
Et pour finir, j'ai pas l'impression que la cellule de gauche soit un lymphocyte étant donné que son rapport nucleo/cytoplasmique n'a pas l'air si élevé que ça (d'habitude il est proche des 90%), après c'est peut-être moi qui dit une connerie
pour le compartiments je sais pas du tout, et pour le rapport nucléocytoplasmique je crois que c'est un grand lymphocyte. merci pour ta réponse _.gif)
Le 14 décembre 2019 à 14:06:30 Jean-Passe-Hess a écrit :
Plus que 2 jours et demi les Lillois![]()
L'UE 5 et l'UE 7 me font stresser bordel![]()
J'espère avoir mes meilleurs notes en UE 1 , 2 et 3![]()
Et si c'est un bon sujet en UE 7 aussi![]()
Bon courage dans cette arrivée en sprint, je compte sur vous pour déchirer , quinterette, theints33 et ceux que j'ai oublié![]()
Idem , il je ne sais même pas comment je vais finir l'UE5 (à l'arrache sûrement)
Bon la chimie du sorcier Willand est fini , c'est toujours moins terrible que la biophysique d'Huglo
[17:03:14] <Sauce6>
Le 14 décembre 2019 à 17:00:42 ElCaminoBBad a écrit :
[16:49:07] <Sauce6>
![]()
Si je me trompe pas ya un grand lymphocyte à gauche, un monocyte à droite et trois PNN en bas c'est juste?et merci pour la réponse les kheys
Je pourrai pas te dire si les 3 PN en bas sont neutrophile étant donné qu'on ne voit que 2 lobes pour 2 d'entre eux, ça peut être lié à l'incidence de coupe ou au fait que les neutrophile peuvent avoir des noyau bilobé
Sinon dans quel compartiment a été pris la photo ? Ça aide beaucoup à différencié les cellules qui se ressemblent type monocyte/macrophages
Et pour finir, j'ai pas l'impression que la cellule de gauche soit un lymphocyte étant donné que son rapport nucleo/cytoplasmique n'a pas l'air si élevé que ça (d'habitude il est proche des 90%), après c'est peut-être moi qui dit une connerie
pour le compartiments je sais pas du tout, et pour le rapport nucléocytoplasmique je crois que c'est un grand lymphocyte. merci pour ta réponse
Connaître le compartiment aide énormément, c'est la base pour analyser une photo de ce type, ça nous permet automatiquement d'éliminer des types cellulaires 
Sinon pas de problème khey, j'ai passé mon concours y'a 2 jours du coup là c'est les vacs 
Bonne chance à vous autres, lâchez rien
Le 14 décembre 2019 à 17:35:05 ElCaminoBBad a écrit :
[17:34:07] <sarkastic>
Ne vous inquiétez pas les kheys la PACES c’est de l’eau vous pouvez vous classer facilement nofake
Moi j’ai déjà le classement
faut juste taffer tous les jour mais rester humain, s’aimer et ne pas s’oublier les kheys. gardez le rythme au S2
[17:42:40] <sarkastic>
Le 14 décembre 2019 à 17:35:05 ElCaminoBBad a écrit :
[17:34:07] <sarkastic>
Ne vous inquiétez pas les kheys la PACES c’est de l’eau vous pouvez vous classer facilement nofakeMoi j’ai déjà le classement
faut juste taffer tous les jour mais rester humain, s’aimer et ne pas s’oublier les kheys. gardez le rythme au S2

Le 14 décembre 2019 à 18:02:51 ElCaminoBBad a écrit :
[17:42:40] <sarkastic>
Le 14 décembre 2019 à 17:35:05 ElCaminoBBad a écrit :
[17:34:07] <sarkastic>
Ne vous inquiétez pas les kheys la PACES c’est de l’eau vous pouvez vous classer facilement nofakeMoi j’ai déjà le classement
faut juste taffer tous les jour mais rester humain, s’aimer et ne pas s’oublier les kheys. gardez le rythme au S2
Bac no mention, bourse, pas de prepa, du coup tout laisse entendre que j’allais foirer mais au final top 5/850 les kheys (C’est only primants)
Le 14 décembre 2019 à 18:12:32 Quinterette a écrit :
Le 14 décembre 2019 à 18:04:15 Jean-Passe-Hess a écrit :
A Lille le 2e semestre est bien plus tranquilleForcément, il n'y a plus d'anat
![]()
(à part pour ceux qui font cette spé, bien évidemment)
Respectez l'ue tête et cou un minimum svp c'est très intéressant 
[18:13:08] <sarkastic>
Le 14 décembre 2019 à 18:02:51 ElCaminoBBad a écrit :
[17:42:40] <sarkastic>
Le 14 décembre 2019 à 17:35:05 ElCaminoBBad a écrit :
[17:34:07] <sarkastic>
Ne vous inquiétez pas les kheys la PACES c’est de l’eau vous pouvez vous classer facilement nofakeMoi j’ai déjà le classement
faut juste taffer tous les jour mais rester humain, s’aimer et ne pas s’oublier les kheys. gardez le rythme au S2Bac no mention, bourse, pas de prepa, du coup tout laisse entendre que j’allais foirer mais au final top 5/850 les kheys (C’est only primants)
Le 14 décembre 2019 à 18:14:23 FuseeAMerde2 a écrit :
Le 14 décembre 2019 à 18:12:32 Quinterette a écrit :
Le 14 décembre 2019 à 18:04:15 Jean-Passe-Hess a écrit :
A Lille le 2e semestre est bien plus tranquilleForcément, il n'y a plus d'anat
![]()
(à part pour ceux qui font cette spé, bien évidemment)
Respectez l'ue tête et cou un minimum svp c'est très intéressant
J'ai jamais dit que ça ne l'était pas
, juste ce trop plein d'anat qui me prend la tête, si en plus t'ajoutes à ça un schéma à réaliser pour le jour J, alors que les schémas que tu prends sont partiellement incomplets parce que t'es pas ambidextre
(sauf pour Mauroy et Demondion
), ça donne ce ressentiment à l'égard de cette UE démoniaque _.gif)
Résultats dans moins de 48h pour les kheys de Caen 
J'espère passe les fêtes de fin d'année en paix 
Afficher uniquement les messages de l'auteur du topic