Le 22 octobre 2021 à 19:34:47 :
Le 22 octobre 2021 à 19:34:12 :
Le 22 octobre 2021 à 19:33:25 :
Le 22 octobre 2021 à 19:31:47 :
inquiete toi plutot qu'on trouve une tumeur cérébraleCa expliquerais les symptomes au moins je serais fixé
Mais ça pourrait être aussi un saignement ou de l'hypertension a voir
Symptomes ?
Céphalée extrême, vomissement, fatigue extreme
Mhh .. 
Jte souhaite de tirer lbon numéro du loto bon courage 

ma grand mère en parfaite santé qui a fait une IRM : juste après grosse douleur au cerveau + pertes de mémoires
en quelques mois son état s'est dégradé, démence puis alzheimer 3 à 4 ans plus tard
elle avait 60 ans... cette merde lui a complétement grillé le cerveau
Le 22 octobre 2021 à 19:34:47 :
Le 22 octobre 2021 à 19:34:12 :
Le 22 octobre 2021 à 19:33:25 :
Le 22 octobre 2021 à 19:31:47 :
inquiete toi plutot qu'on trouve une tumeur cérébraleCa expliquerais les symptomes au moins je serais fixé
Mais ça pourrait être aussi un saignement ou de l'hypertension a voir
Symptomes ?
Céphalée extrême, vomissement, fatigue extreme
des crises ? une stupeur ? de la nausée ? une tachycardie ?
parce que tes symptomes ca peut passer de la méningite à l'hypoglycémie
Le 22 octobre 2021 à 19:42:59 :
Le 22 octobre 2021 à 19:34:47 :
Le 22 octobre 2021 à 19:34:12 :
Le 22 octobre 2021 à 19:33:25 :
Le 22 octobre 2021 à 19:31:47 :
inquiete toi plutot qu'on trouve une tumeur cérébraleCa expliquerais les symptomes au moins je serais fixé
Mais ça pourrait être aussi un saignement ou de l'hypertension a voir
Symptomes ?
Céphalée extrême, vomissement, fatigue extreme
des crises ? une stupeur ? de la nausée ? une tachycardie ?
parce que tes symptomes ca peut passer de la méningite à l'hypoglycémie
Mon généraliste a dit que c'était pas une méningite car pas de douleur a la nuque mais c'est qu'un généraliste et je le soupçonne de devenir gateux, pire douleur de ma vie sa prescription
daffalgan 1 gr 3 fois par jour
Je prend du propanolol pour hypertension qui est cencé être un anti-migraineux 


Le 22 octobre 2021 à 19:42:33 :
Perso j'en a fait une avec injection et je flippait ma race de faire une mauvaise réaction et de crever
Quand j'en parlait à l'infirmière qui devait m'injecter elle voulait surtout pas se mouiller et me disait: "Oui c'est un risque en effet, c'est à vous de choisir mais si on injecte pas ça servira à rien"
le seul risque que tu as c'est le risque d'allergie, généralement on te prescrit un kit optiject et en cas d'allergies tu as du celestene ou de l'aerius à prendre la veille (mais ca t'es sensé être au courant). Er si t'as du diabète tu doit arrêter ton traitement la veille jusqu'a 48h après l'injection (et prévenir ton medecin traitant).
Le 22 octobre 2021 à 19:48:57 :
L'OP qui va se laisser injecter du Goleminium bordel
On se sent Wolverine 
Le 22 octobre 2021 à 19:47:21 :
Le 22 octobre 2021 à 19:42:59 :
Le 22 octobre 2021 à 19:34:47 :
Le 22 octobre 2021 à 19:34:12 :
Le 22 octobre 2021 à 19:33:25 :
Le 22 octobre 2021 à 19:31:47 :
inquiete toi plutot qu'on trouve une tumeur cérébraleCa expliquerais les symptomes au moins je serais fixé
Mais ça pourrait être aussi un saignement ou de l'hypertension a voir
Symptomes ?
Céphalée extrême, vomissement, fatigue extreme
des crises ? une stupeur ? de la nausée ? une tachycardie ?
parce que tes symptomes ca peut passer de la méningite à l'hypoglycémie
Mon généraliste a dit que c'était pas une méningite car pas de douleur a la nuque mais c'est qu'un généraliste et je le soupçonne de devenir gateux, pire douleur de ma vie sa prescription
daffalgan 1 gr 3 fois par jour
Je prend du propanolol pour hypertension qui est cencé être un anti-migraineux
Tu as une tachychardie à cause de ces douleurs à la tete ou c'est un cardio qui t'as prescrit du propranolol parce que c'est un probleme separé ?
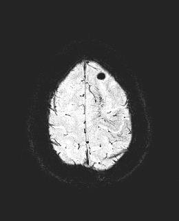
après l'IRM perso ils m'ont fait une artériographie pour affiner les résultats tellement c'est le bordel dans mon cerveau
cavernomes et malformation artério veineuse ... résultat rien à faire, je risque plus si on n'y touche je reste avec mes maux de têtes de la mort
ça fait 10 ans que j'ai pas revu le neurologue ça sert à rien ...
PS : j'ai retrouvé un cliché de mon cerveau
Bon courage pour la suite ...
Le 22 octobre 2021 à 19:54:27 :
après l'IRM perso ils m'ont fait une artériographie pour affiner les résultats tellement c'est le bordel dans mon cerveau![]()
cavernomes et malformation artério veineuse ... résultat rien à faire, je risque plus si on n'y touche je reste avec mes maux de têtes de la mort
![]()
ça fait 10 ans que j'ai pas revu le neurologue ça sert à rien ...
t'as un trou en haut, c'est ton cerveau qui joue de l'ocarina ?
Le 22 octobre 2021 à 19:55:59 Guzzardo62 a écrit :
Le 22 octobre 2021 à 19:54:27 :
après l'IRM perso ils m'ont fait une artériographie pour affiner les résultats tellement c'est le bordel dans mon cerveau![]()
cavernomes et malformation artério veineuse ... résultat rien à faire, je risque plus si on n'y touche je reste avec mes maux de têtes de la mort
![]()
ça fait 10 ans que j'ai pas revu le neurologue ça sert à rien ...
t'as un trou en haut, c'est ton cerveau qui joue de l'ocarina ?
un de mes cavernomes, si vous avez des tâches de naissances il y a de fortes chances que vous ayez ça aussi dans le cerveau
Afficher uniquement les messages de l'auteur du topic