Topic de lomoun :

Double fracture du tibia péroné, des questions ?

Je me suis fait ça aujourd'hui dans l'aprèm

chute en moto

la moto qui tombe pleinement sur la jambe gauche

Crac ma jambe :)

La bite va bien :ok:

Petite branlette oklm dans mon lit d'hôpital cette nuit :ok:

MichelRomanoV -> Merci mec !

Je vais ess

Merde je suis sur mobile je peux pas edit

Je disais je vais essayer de vous upload ça :)

Combien de temps la rééducation ?

Le 16 février 2021 à 05:29:00 lomoun a écrit :
Merde je suis sur mobile je peux pas edit

Je disais je vais essayer de vous upload ça :)

Ça prend 10 sec, nous prend pas pour des jambons.

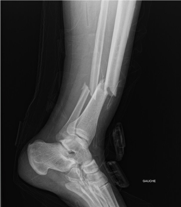
https://image.noelshack.com/fichiers/2021/07/2/1613449781-smartselect-20210214-164848-chrome.jpg

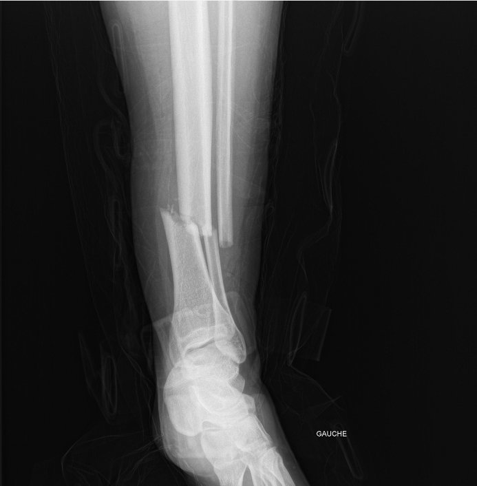
https://image.noelshack.com/fichiers/2021/07/2/1613449824-smartselect-20210214-164904-chrome.jpg

Ça marche comme ça ?

Accident en moto à la con, j'ai mal négocié un virage en descente et j'ai freiné trop fort, j'ai basculé par dessus la moto et elle m'a écrasé la jambe.

La jambe bien droite, la pente + la moto de 300kg qui tombe dessus, ça pardonne pas :)

Rééducation je sais pas encore, j'ai toujours pas été opéré, ça va faire 24h que je suis à l'hosto 🤣

Le 16 février 2021 à 05:30:50 lomoun a écrit :
https://image.noelshack.com/fichiers/2021/07/2/1613449781-smartselect-20210214-164848-chrome.jpg

https://image.noelshack.com/fichiers/2021/07/2/1613449824-smartselect-20210214-164904-chrome.jpg

Ça marche comme ça ?

Mais c'est quoi ça :rire:

Je suis avec mon smartphone qu'il dit :rire:

Le 16 février 2021 à 05:35:18 ViriliteCHIENNE a écrit :
Ça me fait de belle jambes

:rire:

Bah j'ai été upload ça sur un site d'image, je vois pas ce qui te fait rire Trisotin ? :(

Le 16 février 2021 à 05:37:38 lomoun a écrit :
Bah j'ai été upload ça sur un site d'image, je vois pas ce qui te fait rire Trisotin ? :(

Remballe ton fake :)

Ok ça marche le desco :ok:

Des questions/avis pertinentes sinon ?

Données du topic

Auteur
lomoun
Date de création
16 février 2021 à 05:24:34
Nb. messages archivés
19
Nb. messages JVC
19
Voir le topic sur JVC

Afficher uniquement les messages de l'auteur du topic

En ligne sur JvArchive
JvArchive compagnon
Découvrez JvArchive compagnon, l'userscript combattant la censure abusive sur le 18-25 !