

Le 10 mars 2022 à 00:22:27 :
Je me permets de upper car je pense le faire
L'orthondiste m'avait fait un devis à 4K.
La mutuelle rembourse 50%
Mais j'hésite avec les bagues
Il y a que le haut à faire, et je me dis que c'est peut être plus rapide, en étant moins contraignant
J’ai des bagues visibles et si t’en as pour longtemps franchement je te conseille invisalign. C’est la fin des masques en plus…. T’as raté le train
Après si ça te dérange pas d’avoir un appareil visible, des bagues classiques c’est le top et moi perso mon ortho m’avait dit que c’était plus rapide avec plutôt qu’invisilign
Le 07 mars 2022 à 09:24:31 :
On en parle du fin du masque ?
Moi et mon appareil dentaire en pls… Je porterai le masque jusqu’à la fin de mon traitement et je vais jouer la carte du « j’ai peur d’attraper le virus »
Dire qu'il me reste 1 an de traitement à peu près, j'ai pris le train un peu trop tard. Le masque va revenir après les élections, j'y doute pas une seconde
Le 09 mars 2022 à 10:42:26 :
Le 09 mars 2022 à 05:08:43 RainSound28 a écrit :
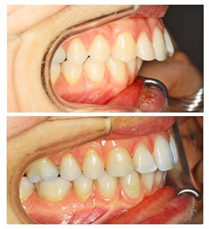
Je viens de voir que si tu as pas d'appareil de contention à la fin du traitement les dents risquent de bouger dans les années à venir et de détruire tout le travailCeux qui ont terminés le traitement vous avez un appareil de contention à porter la nuit à vie c'est ça?
![]()
J'ai juste des fils de contention à vie (un pour les dents du haut, un autre pour les dents du bas).
Mais effectivement, un autre ortho avait proposé une gouttière à porter la nuit à vie, ça marche aussi apparemment.
Je crois qu'il faut les gouttières, les fils de contention je crois que ça peut se décaler avec
Le 04 mars 2022 à 17:38:01 :
Début du traitement aujour'hui, j'ai 20 gouttières à changer tous les 15jours soit 300jours ( on compte 2 mois en plus ) donc 1an de traitement![]()
C'est pas du tout dérangeant pour l'instant, je zozote pas, c'est pas chiant sauf que j'aime bien bouffer à des heures irrégulières donc faudra m'habituer à changer ça
Tout pareil, début du traitement aujourd'hui.
20 gouttières sur 40 semaines 
Le 10 mars 2022 à 15:21:15 :
Le 07 mars 2022 à 09:24:31 :
On en parle du fin du masque ?
Moi et mon appareil dentaire en pls… Je porterai le masque jusqu’à la fin de mon traitement et je vais jouer la carte du « j’ai peur d’attraper le virus »Dire qu'il me reste 1 an de traitement à peu près, j'ai pris le train un peu trop tard. Le masque va revenir après les élections, j'y doute pas une seconde
![]()
Courage à toi…
Moi après les élections c’est mort je suis supposée les enlever si tout se passe bien
- que si je dépassais elle me ferait pas payer_.gif)
Le 18 mars 2022 à 11:07:45 :
Les kheys j'ai une question hier je suis allé voir un orthodontiste pour une mâchoire un peu en retrait et dent vers l'avant et il m'a conseillé de faire une opération d'avancer mandibulaire avec port de bagues pendant 6 mois 1an, puis opération. Ça vaut le coup de faire ça ou c'est risqué comme opération. D'après vous je vais voire un autre orthodontiste pour lui demande son avis ou pas ?
Je peux pas répondre exactement à ta question parce que c’était pas mon cas. Mais si je peux bien te conseiller une chose c’est d’aller voir le plus de praticiens possible.. T’auras des avis différents et ça te permettra d’identifier la personne qui saura au répondre au mieux à tes attentes
Le 18 mars 2022 à 11:07:45 :
Les kheys j'ai une question hier je suis allé voir un orthodontiste pour une mâchoire un peu en retrait et dent vers l'avant et il m'a conseillé de faire une opération d'avancer mandibulaire avec port de bagues pendant 6 mois 1an, puis opération. Ça vaut le coup de faire ça ou c'est risqué comme opération. D'après vous je vais voire un autre orthodontiste pour lui demande son avis ou pas ?
C’est aussi mon cas, j’ai étudié en profondeur le sujet de la retrognathie (classe 2). Je peux te donner mon avis.
Montre moi une photo en mp comme ça
Et une radio de profil. Je vais vite te dire si c’est nécessaire ou non.
2 ans que j’étudie le sujet.
18 gouttières, 1 an de traitement
1750€ par semestre
500€ de radio et bilan pré traitement (100€ remboursé)
C’est honnête ? Je suis retrognathe 
Salut à tous,
Je suis suivi dans un centre dentaire et j'ai demandé un traitement d'orthodontie. J'ai été pris en charge par une dentiste qui m'a accueilli une première fois pour voir l'état de mes dents, et me proposer des solutions : bagues ou Invisalign. J'ai eu le devis, et j'ai choisi Invisalign.
Deuxième rendez-vous, et là j'ai été un peu surpris, le centre dentaire dans lequel je suis est pas super bien équipé, ma dentiste avait l'air perdue. Elle a pris des photos, a fait des empreintes avec du silicone. Le cabinet avait déjà eu une radio panoramique de ma bouche. Mais j'ai pas eu de radio complémentaire type téléradiographie (radio du crâne de profil) qui est pourtant obligatoire dans les bilans orthodontiques de ce que j'ai lu.
Est-ce que selon ça craint ? Je devrais m'inquiéter du sérieux ? Surtout que j'ai déjà payé la prise d'empreinte 300€...
Le 23 mars 2022 à 18:00:50 :
Salut à tous,
Je suis suivi dans un centre dentaire et j'ai demandé un traitement d'orthodontie. J'ai été pris en charge par une dentiste qui m'a accueilli une première fois pour voir l'état de mes dents, et me proposer des solutions : bagues ou Invisalign. J'ai eu le devis, et j'ai choisi Invisalign.
Deuxième rendez-vous, et là j'ai été un peu surpris, le centre dentaire dans lequel je suis est pas super bien équipé, ma dentiste avait l'air perdue. Elle a pris des photos, a fait des empreintes avec du silicone. Le cabinet avait déjà eu une radio panoramique de ma bouche. Mais j'ai pas eu de radio complémentaire type téléradiographie (radio du crâne de profil) qui est pourtant obligatoire dans les bilans orthodontiques de ce que j'ai lu.Est-ce que selon ça craint ? Je devrais m'inquiéter du sérieux ? Surtout que j'ai déjà payé la prise d'empreinte 300€...
Les centres dentaires de manière générale sont à éviter.. Après, c’est une généralité mais il peut y avoir des exceptions
Niveau radio ça me choque pas trop mais bon moi j’ai posé un vrai appareil
Le 21 mars 2022 à 09:50:35 :
18 gouttières, 1 an de traitement1750€ par semestre
500€ de radio et bilan pré traitement (100€ remboursé)
C’est honnête ? Je suis retrognathe
C'est les prix oui
Le 23 mars 2022 à 18:00:50 :
Salut à tous,
Je suis suivi dans un centre dentaire et j'ai demandé un traitement d'orthodontie. J'ai été pris en charge par une dentiste qui m'a accueilli une première fois pour voir l'état de mes dents, et me proposer des solutions : bagues ou Invisalign. J'ai eu le devis, et j'ai choisi Invisalign.
Deuxième rendez-vous, et là j'ai été un peu surpris, le centre dentaire dans lequel je suis est pas super bien équipé, ma dentiste avait l'air perdue. Elle a pris des photos, a fait des empreintes avec du silicone. Le cabinet avait déjà eu une radio panoramique de ma bouche. Mais j'ai pas eu de radio complémentaire type téléradiographie (radio du crâne de profil) qui est pourtant obligatoire dans les bilans orthodontiques de ce que j'ai lu.Est-ce que selon ça craint ? Je devrais m'inquiéter du sérieux ? Surtout que j'ai déjà payé la prise d'empreinte 300€...
Par contre si tu sens qu'elle est pas pro n'y va pas, moi j'ai choisis le meilleur orthodontiste de ma région faut pas prendre le premier qui te tombe sous la main sinon tu vas peut être avoir des soucis par la suite et vu le prix du traitement c'est chiant
Par exemple le fait que tu dis qu'elle a pris tes empreintes dentaire avec du silicone ça me parait bizarre normalement c'est une machine spéciale qui prend en 3D ta bouche https://www.orthodontie-rodez.fr/scanner-intra-oral/
Le 09 mars 2022 à 05:08:43 :
Je viens de voir que si tu as pas d'appareil de contention à la fin du traitement les dents risquent de bouger dans les années à venir et de détruire tout le travailCeux qui ont terminés le traitement vous avez un appareil de contention à porter la nuit à vie c'est ça?
![]()
En ce qui me concerne j’ai déjà le fil de contention en haut, et j’ai une gouttière de contention à porter la nuit pendant 1 an. Pour le bas j’ai 10 gouttières de finition et j’aurais aussi un fil en bas à la fin.
Le 23 mars 2022 à 18:00:50 :
Salut à tous,
Je suis suivi dans un centre dentaire et j'ai demandé un traitement d'orthodontie. J'ai été pris en charge par une dentiste qui m'a accueilli une première fois pour voir l'état de mes dents, et me proposer des solutions : bagues ou Invisalign. J'ai eu le devis, et j'ai choisi Invisalign.
Deuxième rendez-vous, et là j'ai été un peu surpris, le centre dentaire dans lequel je suis est pas super bien équipé, ma dentiste avait l'air perdue. Elle a pris des photos, a fait des empreintes avec du silicone. Le cabinet avait déjà eu une radio panoramique de ma bouche. Mais j'ai pas eu de radio complémentaire type téléradiographie (radio du crâne de profil) qui est pourtant obligatoire dans les bilans orthodontiques de ce que j'ai lu.Est-ce que selon ça craint ? Je devrais m'inquiéter du sérieux ? Surtout que j'ai déjà payé la prise d'empreinte 300€...
Oui il a raison l’autre khey c’est bizarre normalement l’ortho te passe une sorte de crayon scanner et la machine fait une empreinte 3D de toute ta bouche
Ayaa ya un topic Invisalign
J'ai commencé hier, si vous avez des questions n'hésitez pas j'y répondrai ou alors vous pouvez venir en mp
Pour info : j'en ai jusqu'au mi octobre, pour l'instant j'ai pas trop mal mais ca me casse un peu les couilles car c'est légèrement dérangeant d'avoir un truc dans la bouche, et j'ai l'impression que je n'arrive pas à refermer complètement ma machoire + fini les grignotages car à chaque fois qu'on mange on doit enlever et nettoyer ses dents + l'appareil
Et j'en ai pour 4k800e (dont la mutuelle qui en prend 1500euros).
Afficher uniquement les messages de l'auteur du topic