Le 25 janvier 2021 à 18:32:56 Yipeekayey a écrit :
Pour rester dans l’orthodontie, des Kheys qui ont déjà fait un blanchissement opalescence avec les gouttières à mettre la nuit ? Vous êtes satisfait ?
c'est justement pas de l'orthodontie,
J'ai reçu aujourd'hui une gouttière pour le repose de la mâchoire l nuit (différent du bruxisme)
Les kheys qui ont fait straight tzeth ca marche oi arnaque ?
J'ai lu des avis maiq j'ai peur qu'ils soient fake.. Et c'est si peu cher que c'est bizarre..
Hello, je viens vous faire un retour sur straight teeth direct. Ils ont reçu mes empreinte via DHL mardi, ils m'ont demandé des photos complémentaires. Je leur ai envoyé également un panoramique dentaire récent.
Je devrais avoir un retour de mon plan de traitement 3D sous 15 jours. Et si ça me convient je mets ça en route rapidement.
En tout cas ils sont super réactifs, lorsque j'envoie un message j'ai une réponse entre 30 minutes à 24h00. Ils répondent même le week-end.
Je reviens vers vous dès qu'il y a du nouveau 😉
Le 29 janvier 2021 à 11:04:02 Audrey-STD a écrit :
Hello, je viens vous faire un retour sur straight teeth direct. Ils ont reçu mes empreinte via DHL mardi, ils m'ont demandé des photos complémentaires. Je leur ai envoyé également un panoramique dentaire récent.Je devrais avoir un retour de mon plan de traitement 3D sous 15 jours. Et si ça me convient je mets ça en route rapidement.
En tout cas ils sont super réactifs, lorsque j'envoie un message j'ai une réponse entre 30 minutes à 24h00. Ils répondent même le week-end.
Je reviens vers vous dès qu'il y a du nouveau 😉
Merci de ton retour. En esperant que ton traitement fonctionne. Tu sais comment ça se passe pour la contention avec straight teeth direct ? Une fois que les dents on été alignées, ils te donnent des gouttieres de nuit à porter à vie pour les stabiliser ou ils te renvoient vers un orthodontiste qui te poseras des fils de contentions derrière les dents ?
Le 30 janvier 2021 à 13:35:58 jeanrangcarton a écrit :
Le 29 janvier 2021 à 11:04:02 Audrey-STD a écrit :
Hello, je viens vous faire un retour sur straight teeth direct. Ils ont reçu mes empreinte via DHL mardi, ils m'ont demandé des photos complémentaires. Je leur ai envoyé également un panoramique dentaire récent.Je devrais avoir un retour de mon plan de traitement 3D sous 15 jours. Et si ça me convient je mets ça en route rapidement.
En tout cas ils sont super réactifs, lorsque j'envoie un message j'ai une réponse entre 30 minutes à 24h00. Ils répondent même le week-end.
Je reviens vers vous dès qu'il y a du nouveau 😉
Merci de ton retour. En esperant que ton traitement fonctionne. Tu sais comment ça se passe pour la contention avec straight teeth direct ? Une fois que les dents on été alignées, ils te donnent des gouttieres de nuit à porter à vie pour les stabiliser ou ils te renvoient vers un orthodontiste qui te poseras des fils de contentions derrière les dents ?
En vrai balek de ça, une fois que t'as les dents droites tu vas chez un ortho et tu expliques qu'il te faut une barre
Le 04 février 2021 à 15:28:53 LiamHowIett a écrit :
On a des news de gens qui ont fait le traitement straight teeth direct ?
Je me tâte mais j'ai pas trop confiance
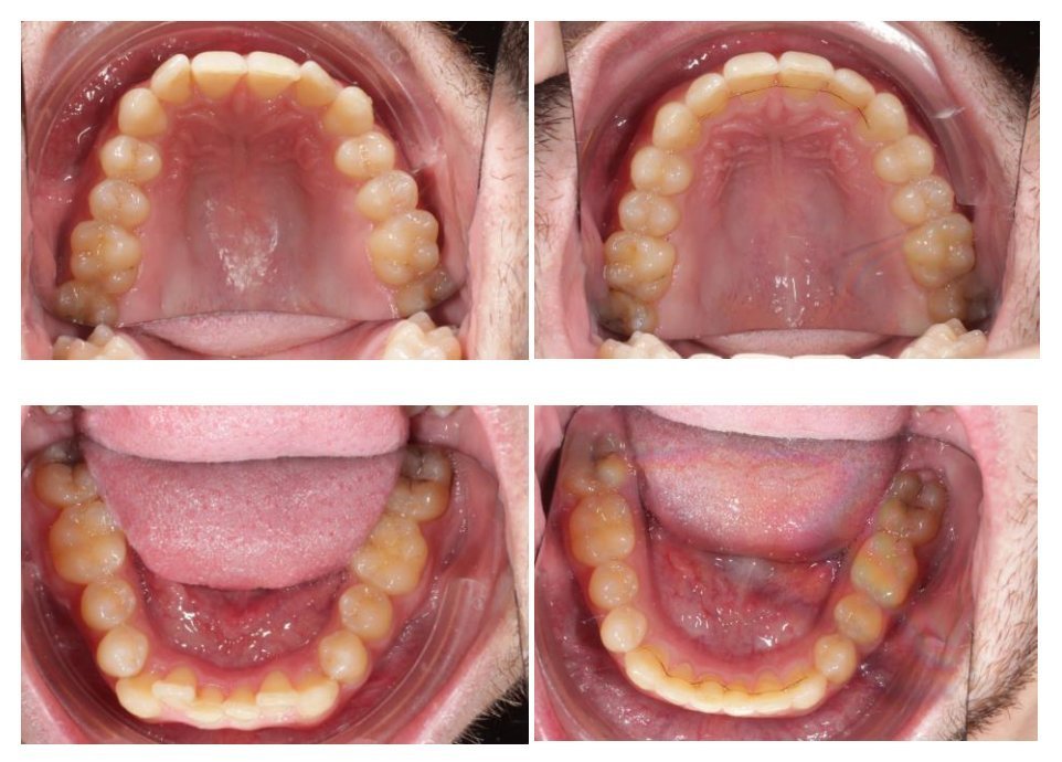
Oui j'ai fait.
J'avais posté sur le topic avec un autre pseudo. Ils m'avaient annoncé 8 mois de traitement, au final ça a duré un peu plus d'un an car mes dents du bas n'ont pas bougé comme prévu.
Le résultat final pour les dents du bas n'est pas parfait mais c'est quand même très bien (juste une dent qui a eu du mal à faire son mouvement de rotation mais bon il n'y a que moi qui le voit je pense). Je suis très satisfait du résultat pour 1500 €, pour moi c'est la meilleure des alternatives à Invisalign (3 - 4 fois moins cher, pas de taquets donc traitement plus discret mais un peu moins efficace mais leur service est très attentif à ce que ça se passe bien, ils m'ont envoyé 2 fois des jeux de gouttières supplémentaires pour avoir le meilleur résultat possible)
Là je suis en contention nocturne uniquement depuis quelques mois. J'ai pris un abonnement à 150€ par an pour recevoir tous les 6 mois des gouttières de contention neuves car elles s'usent au bout de quelques mois 
En tout cas je recommande. Le résultat est légèrement moins bon qu'avec Invisalign je pense mais la différence de prix est énorme, pour moi ça a bien arrangé les choses.
Le 04 février 2021 à 18:32:50 bellgrou a écrit :
Le 04 février 2021 à 15:28:53 LiamHowIett a écrit :
On a des news de gens qui ont fait le traitement straight teeth direct ?
Je me tâte mais j'ai pas trop confianceOui j'ai fait.
J'avais posté sur le topic avec un autre pseudo. Ils m'avaient annoncé 8 mois de traitement, au final ça a duré un peu plus d'un an car mes dents du bas n'ont pas bougé comme prévu.
Le résultat final pour les dents du bas n'est pas parfait mais c'est quand même très bien (juste une dent qui a eu du mal à faire son mouvement de rotation mais bon il n'y a que moi qui le voit je pense). Je suis très satisfait du résultat pour 1500 €, pour moi c'est la meilleure des alternatives à Invisalign (3 - 4 fois moins cher, pas de taquets donc traitement plus discret mais un peu moins efficace mais leur service est très attentif à ce que ça se passe bien, ils m'ont envoyé 2 fois des jeux de gouttières supplémentaires pour avoir le meilleur résultat possible)Là je suis en contention nocturne uniquement depuis quelques mois. J'ai pris un abonnement à 150€ par an pour recevoir tous les 6 mois des gouttières de contention neuves car elles s'usent au bout de quelques mois
En tout cas je recommande. Le résultat est légèrement moins bon qu'avec Invisalign je pense mais la différence de prix est énorme, pour moi ça a bien arrangé les choses.
Oui clairement, je pense que le résultat est rarement parfait mais c'est déjà large mieux qu'au début !
Même sur les photos de leur site on voit que c'est pas genre parfait mais balek c'est quand même bien droit et pour 1500 balles ça va, quitte a refaire une petite correction dans quelques années quand on sera riche _.gif)
Perso j'attend qu'ils me fassent le plan de traitement la
Cimer pour ton retour clé, c'est toi qui m'a fait sauter le pas !! je savais meme pas que c'était possible l'orthodontie à domicile
De mon côté j'ai commencé le traitement y'a plus d'une semaine, 2/14 
C'est bizarre car ils m'ont dit que ça durait 1 an, et je les change toutes les semaines. Déjà entre la gouttière 1 et 8 la différence à l'air énorme, ça me fascine la vitesse à laquelle ils font ça.
La gouttière fait un peu mal les 24h premières heures et après tu la sens plus trop, mais ça reste bien chiant d'avoir ce truc en bouche, surtout quand tu sais que ça dure des mois. Sinon j'ai déjà testé de boire bières/café pour pas l'enlever tout le temps et ça passe très bien, certes ca jaunit mais ça se voit pas tant. C'est un gros plus pour tenir les 22h de port. Je tenterais pas le vin rouge non plus 
J'ai enlevé mes dents de sagesses car elles ont détruite ma dentition...
Du coup, je vais pas tarder à sauter le pas pour ce type de traitement mais la facture me fait super peur.
Je vais forcément en avoir pour 8000 euros...
Du coup, je peux pas tenter les traitements à 1000 euros car j'ai une dentition vraiment dégueulasse.
Du coup, je suis un peu bloqué !
Mais en tout cas super topic, ça aide à y voir plus clair !


J'ai bientôt fini, hâte d'atteindre le résultat final.
Après invisalign je go gros détartrage (je l'ai fait y'a pas longtemps et ça change tout
), puis blanchiment dentaire et pose d'une facette.
J'attaque la dernière ligne droite, je pense que dans 2-3 mois max c'est fini 

Afficher uniquement les messages de l'auteur du topic